【重度の八重歯・すきっ歯】非抜歯・非削合の矯正治療例|1年4ヶ月で完了(愛知県刈谷市)
Before
After
| 治療内容 | 重度の八重歯とすきっ歯の矯正治療(非抜歯、非削合) |
|---|---|
| 主訴 | 歯のガタガタした乱れと見た目が気になる。 |
| 治療期間 | 1年4か月 |
| リスク・副作用 | 矯正治療中は噛み合わせが変化し、一時的に顎関節に負担がかかることで、顎関節に音や、痛み、開閉口障害などの顎関節症状が出ることがあります。矯正治療が終了するについて顎の位置が安定し、通常顎関節症状はなくなります。 |
| 治療費用 | 1,210,000円(税込) |
Before
After
Before
After
Before
After
Before
After
Before
After
Before
After
矯正医からのコメント
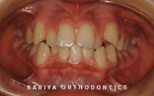
重度の八重歯とすきっ歯の矯正治療を非抜歯、非削合にて行いました。
矯正治療前の状態ですが、上顎は十分に成長しておらず劣成長を認め、著しい叢生(デコボコ)と2重歯列、上顎の側切歯の舌側転位、乳歯の晩期残存を認めます。上顎の劣成長に伴い、下顎も成長発育が芳しくなく、下顎歯列には中等度の叢生があり、小臼歯から大臼歯にかけては内側に歯が傾斜している状態で、舌房も狭い状態でした。
このため、急速拡大装置と表側のワイヤー矯正治療にて治療を開始しました。
上顎の側方拡大により、V字状であった歯列をU字状に拡大し、十分なスペースを確保したのち、左側上顎犬歯の牽引を開始し、歯列弓内に収めました。なお、晩期残存の乳歯は抜歯いたしました。
下顎においても側方拡大および遠心傾斜移動により、各歯牙をアップライトさせスペースを確保することで、歯を抜いたり削ったりすることなく配列いたしました。上下の顎間ゴムの使用により緊密な咬合を確立させました。
なお、上下の前歯は前方に出さないように留意して治療を行いました。
適切なアンテリアカップリングと側方運動時の臼歯部ディスクルージョンを付与することができました。
適確な診断のもと、1回のアポイントにおいて最適な治療を施すことにより、約1年4か月で治療を終えることができました。
清掃性の良好なリテーナーを使用し、フォローアップを続けていきたいと思います。