【下顎前突、交叉咬合、下顎左側偏位】顎変形症の外科的矯正治療例|保険適用
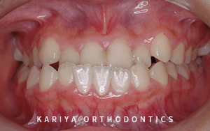
Before
After
| 治療内容 | 顎変形症(下顎前突、交叉咬合、下顎左側偏位)の外科的矯正治療(保険適用) |
|---|---|
| 主訴 | 受け歯が気になる。1本分歯がずれている。手術でも歯を抜かない治療を希望している。 |
| 治療期間 | 2年2か月 |
| リスク・副作用 | 骨格的なずれが著しい場合や歯の大きさが左右対称でない場合、上下の前歯の正中が合わないことがあります。医療には限界があることをご理解ください。 |
| 治療費用 | 240,000円(保険適用) ※外科手術費用(保険)は別途(提携病院実施) |
Before
After
Before
After
Before
After
Before
After
Before
After
矯正医からのコメント
「受け歯が気になる。1本分歯がずれている。手術でも歯を抜かない治療を希望している。」を主訴にご来院された患者様の矯正治療を行いました。
上下の歯が1本分ずれ、顔が歪んでいる状態でした。
顎変形症(下顎前突、交叉咬合、下顎左側偏位)の診断のもと、ワイヤー矯正治療を開始しました。
上下の歯列のアーチを拡大し、非抜歯にて配列したのちSSRO(下顎枝矢状分割術)にてセットバックと右方移動を行いました。
機能面はもちろん、審美面が著しく改善し、大変喜んでくださり、たくさんの患者様をご紹介していただきました。誠にありがとうございます。